症例集
CASE


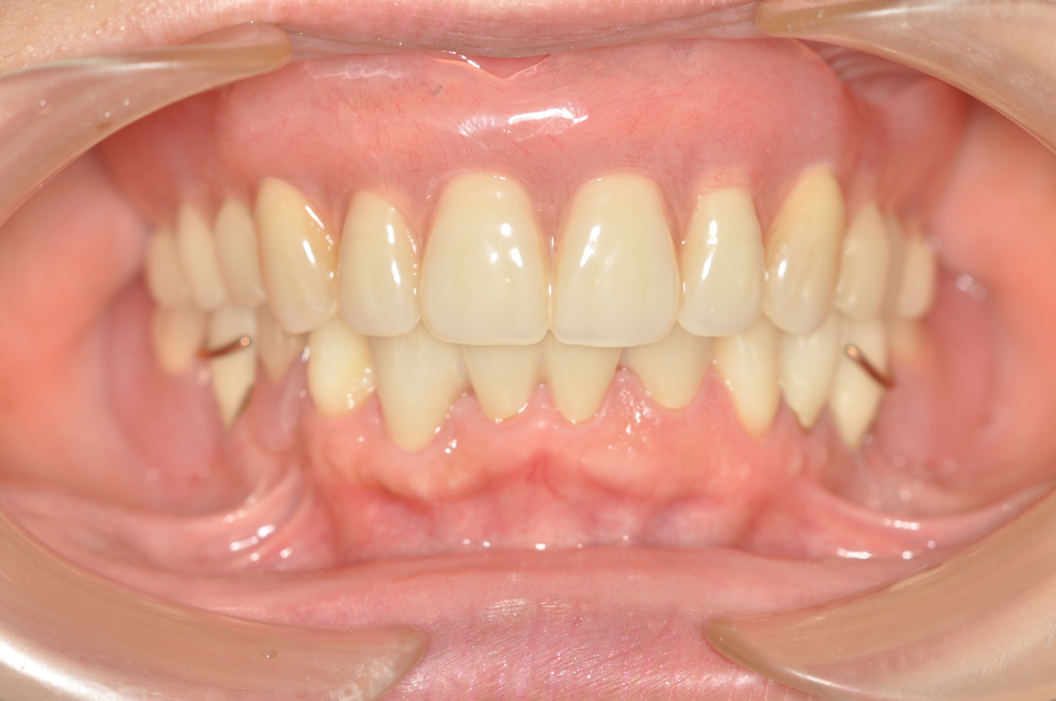
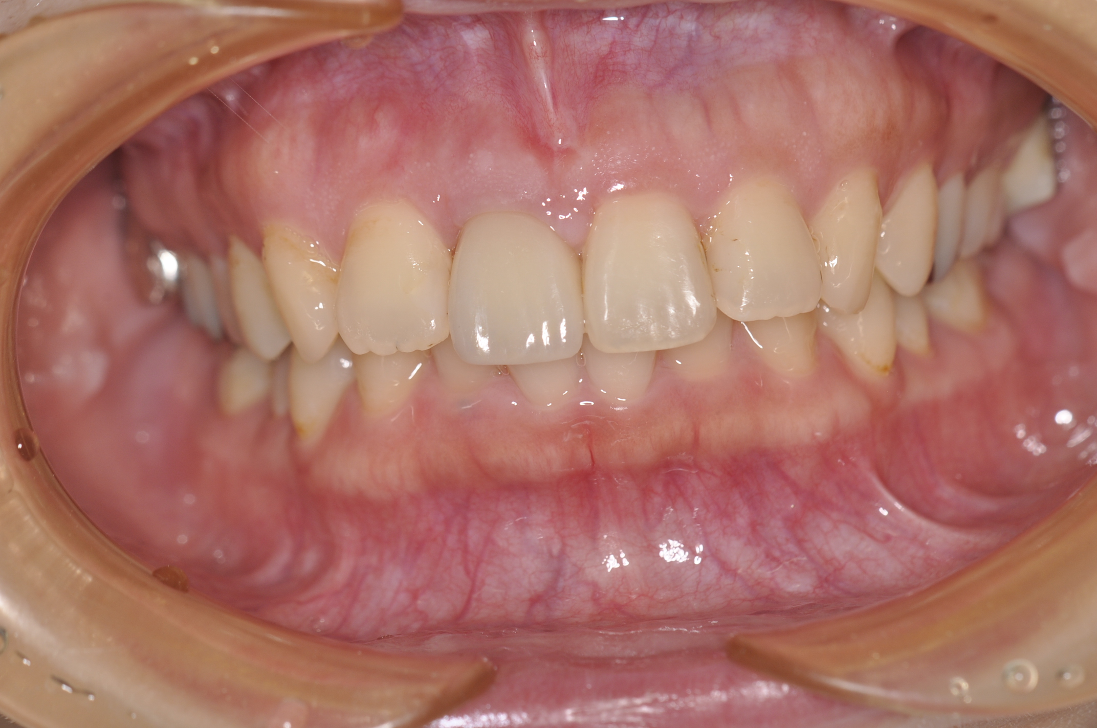
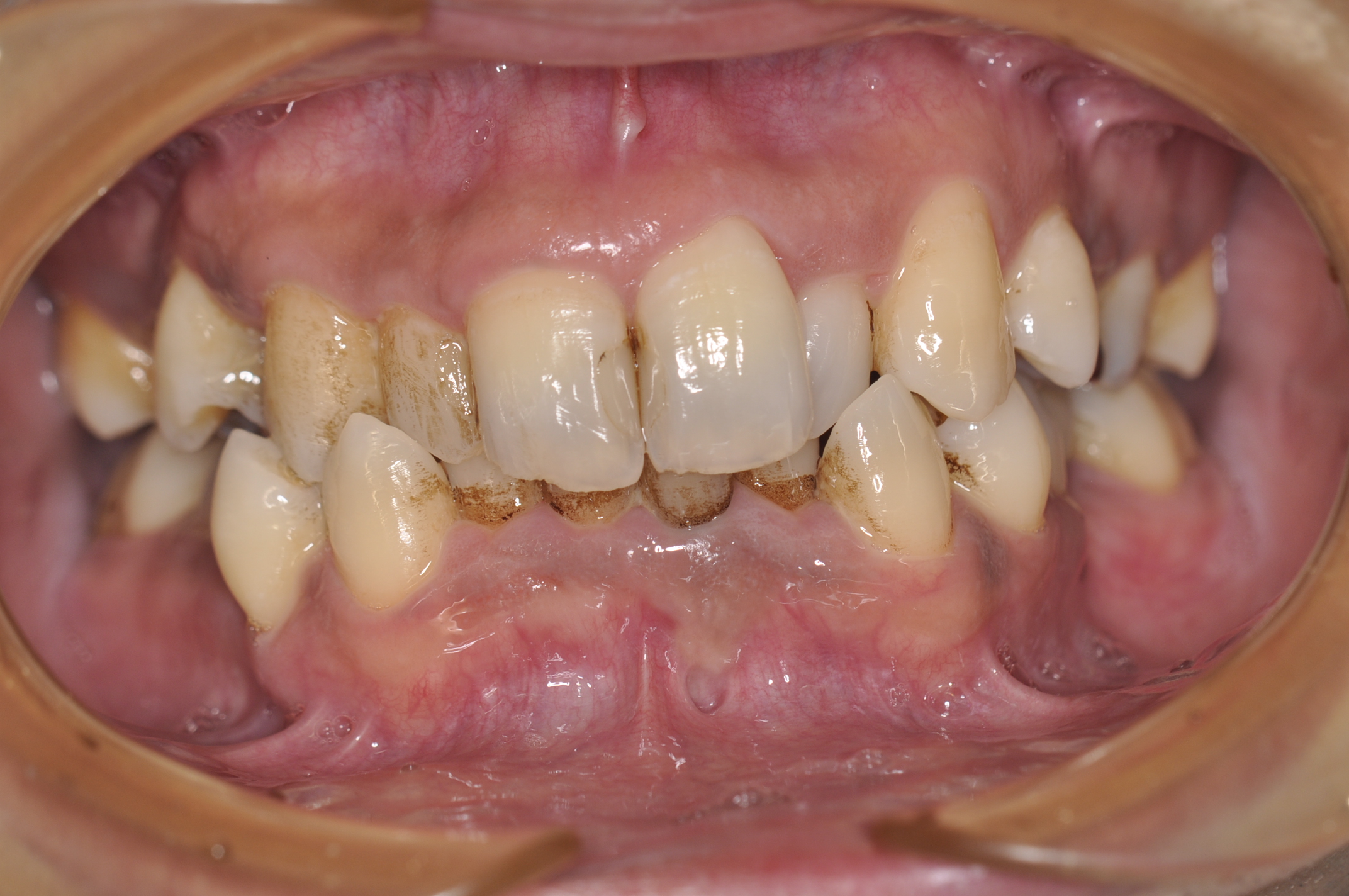
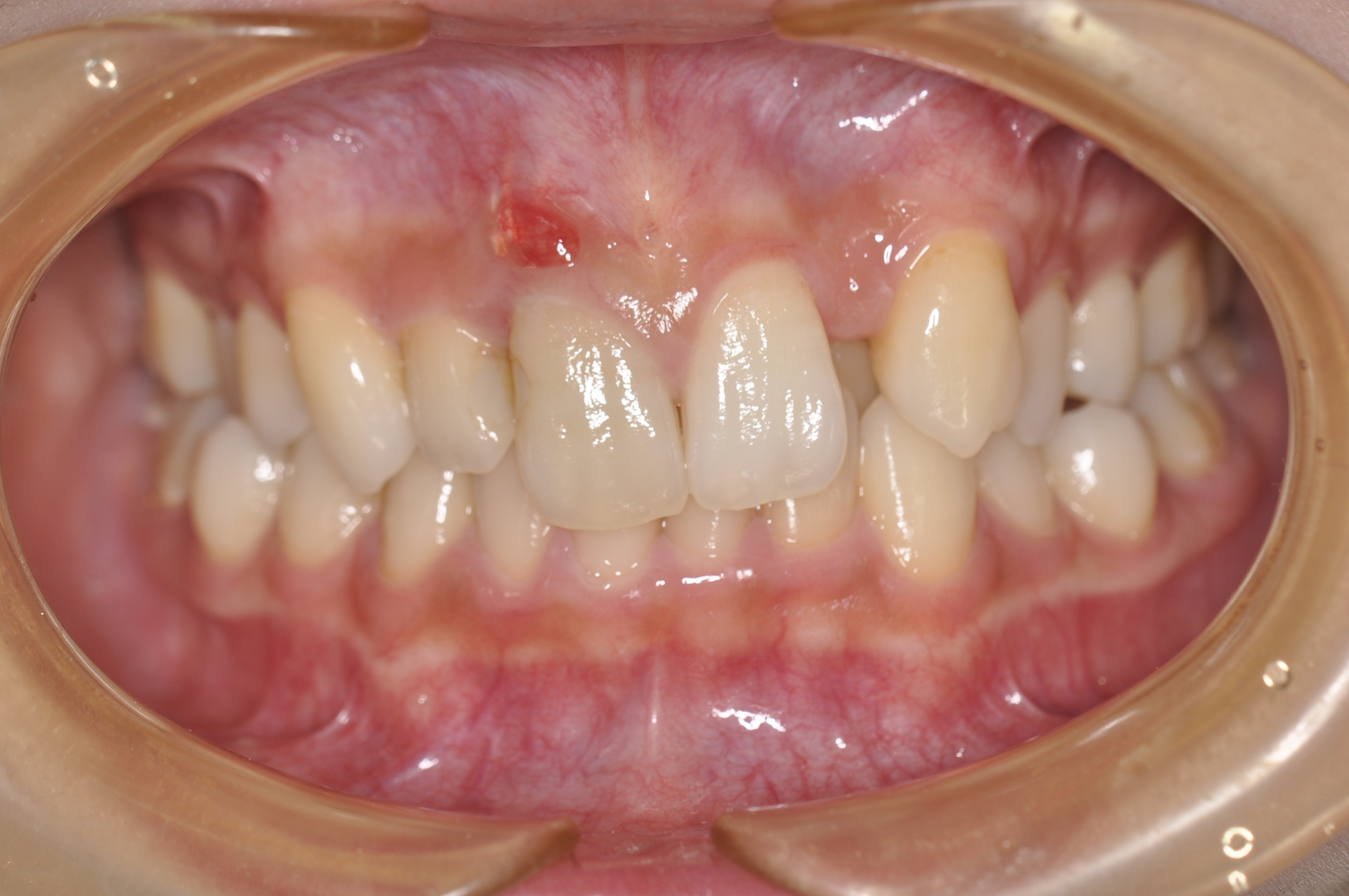
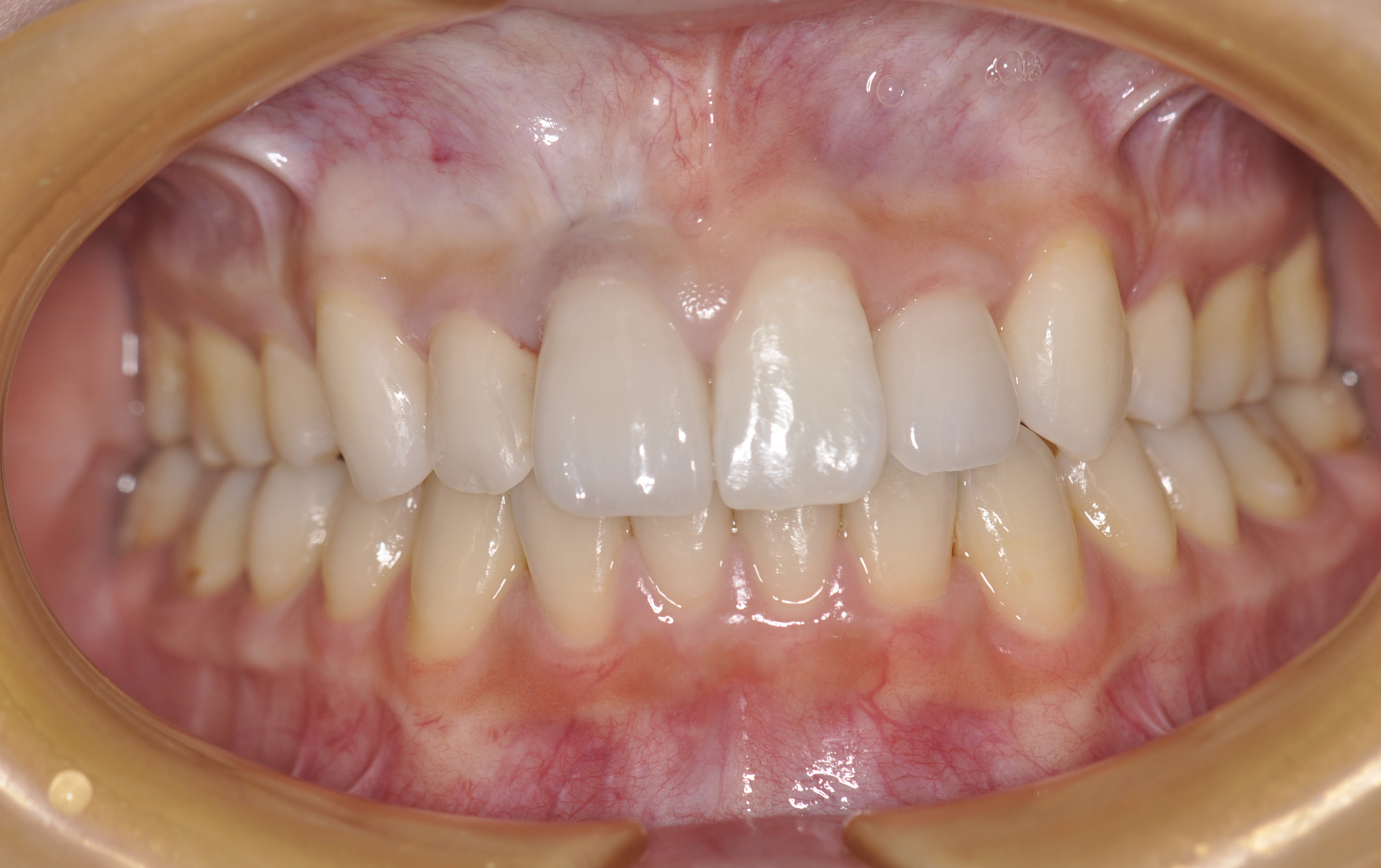
治療内容:歯周病基本治療 抜歯 セラミック治療 義歯治療…続きを見る


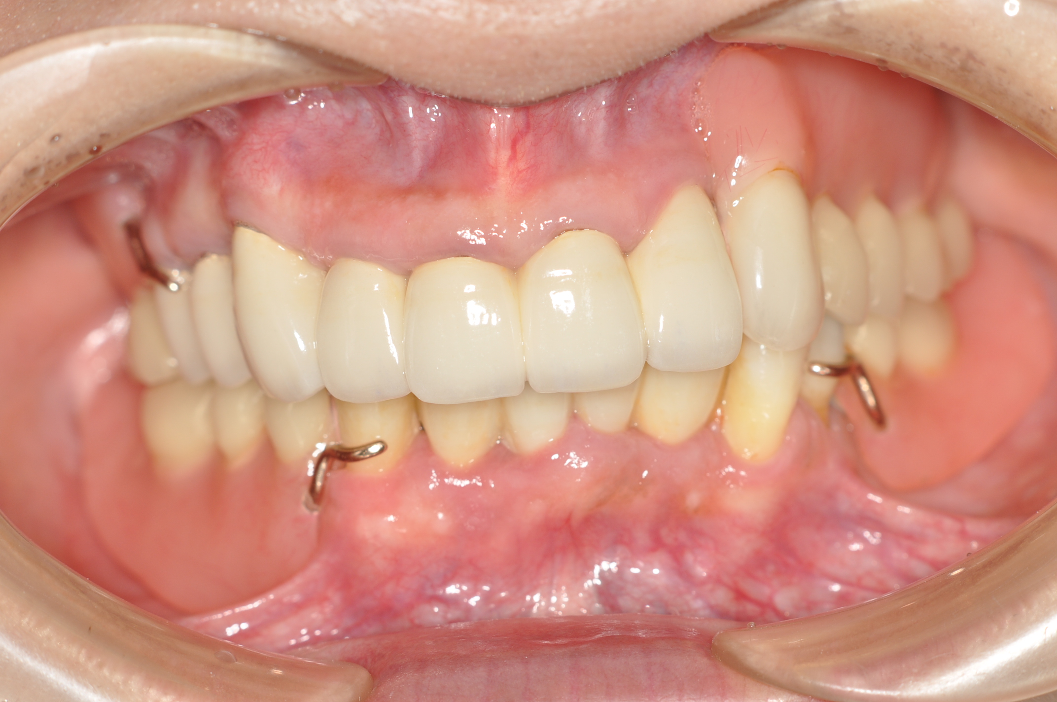
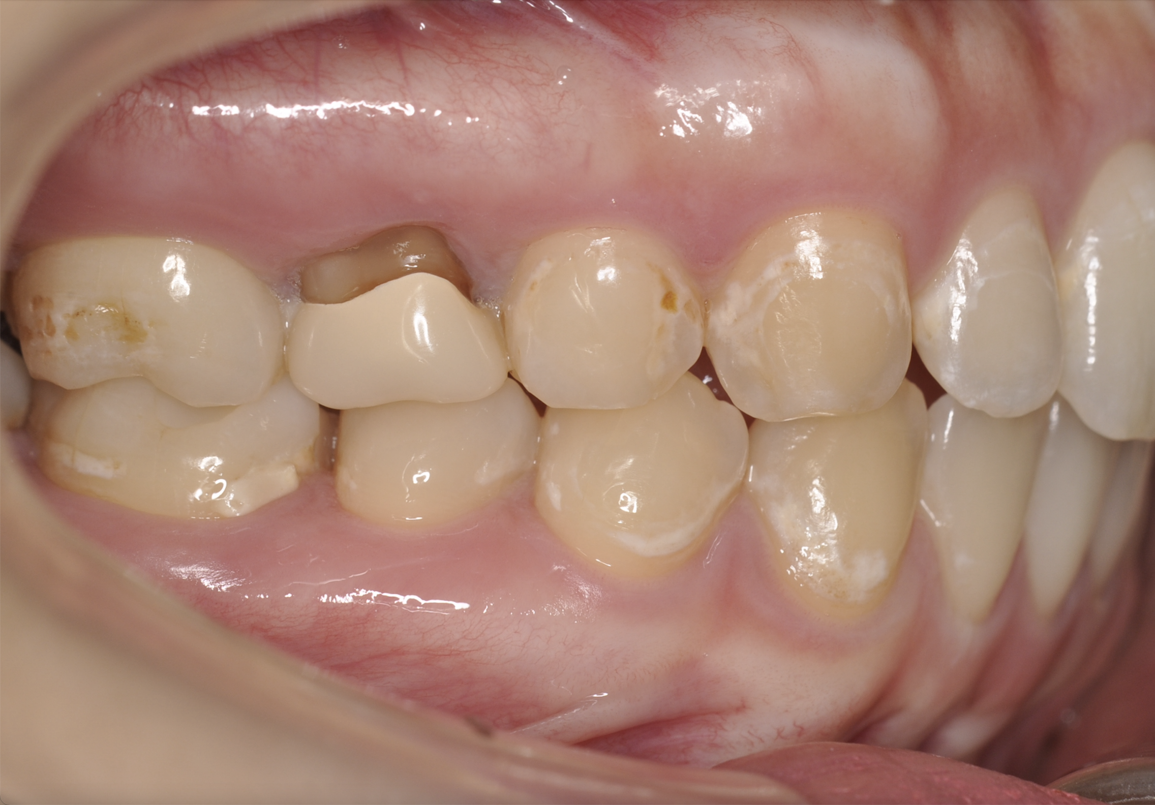
治療内容:歯周基本治療 歯周外科 抜歯 補綴治療…続きを見る


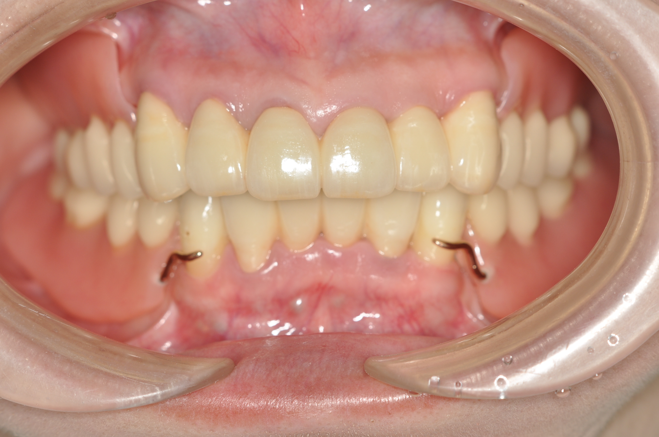
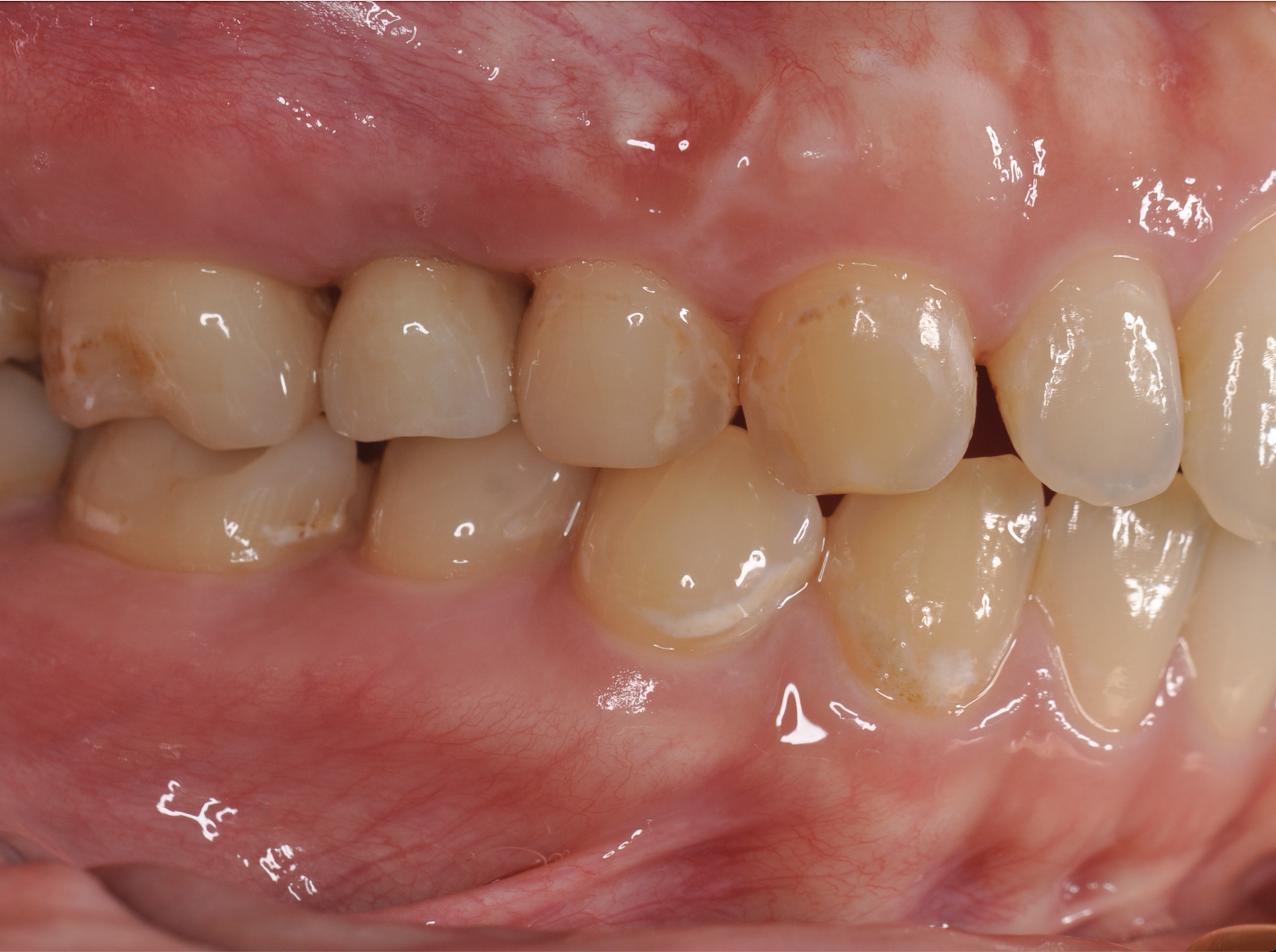
治療内容:歯周基本治療 歯周外科治療 補綴治療…続きを見る
20代女性 歯根破折のためエクストルージョンを行った審美補綴症例


治療内容:エクストルージョン 挺出 歯周外科 審美補綴治療 …続きを見る
20代女性 乳歯残存抜歯後サイナスリフト(上顎洞挙上術)を行ったインプラント治療を行なった症例


治療内容:サイナスリフト(上顎洞挙上術) インプラント埋入 インプラント補綴…続きを見る


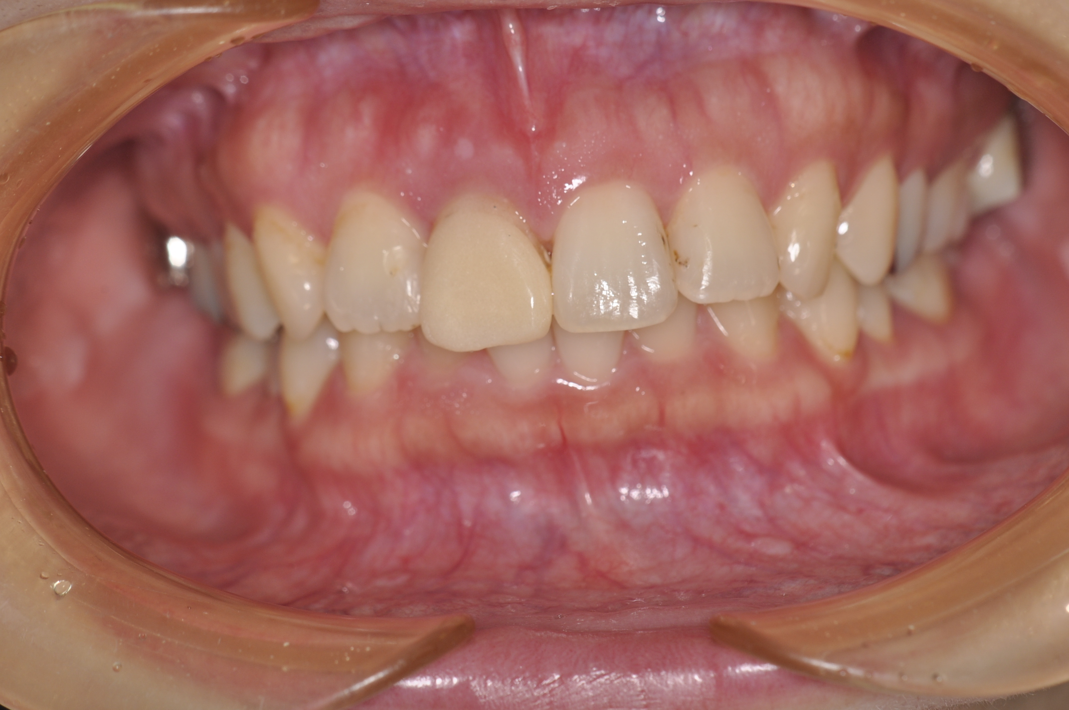
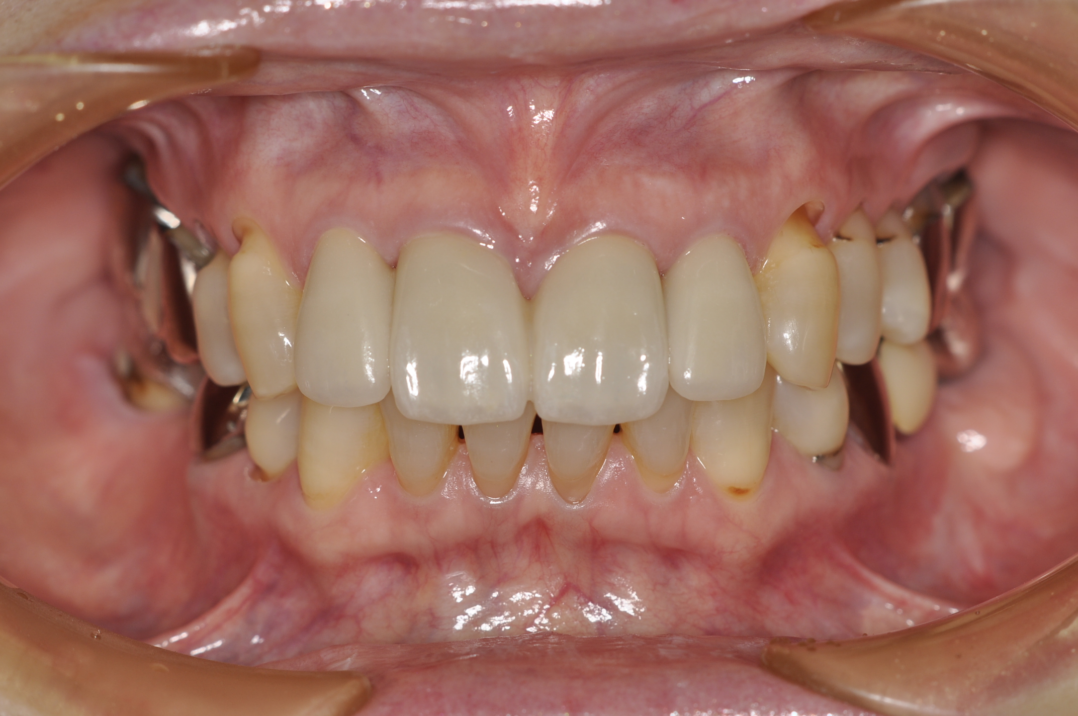
治療内容:歯周病治療 再生療法 部分矯正 審美補綴治療…続きを見る


治療内容:抜歯 レベリング→犬歯遠心移動→スペースクローズ 保定…続きを見る


治療内容:根管治療、修復治療、抜歯 レベリング→犬歯遠心移動→スペースクローズ 保定 補綴…続きを見る


治療内容:抜歯 セラミック補綴治療…続きを見る


治療内容:前歯オールセラミック治療…続きを見る