長年の経験が活きる 安藤歯科医院の症例集

お気軽にお問い合わせください

019-626-5525

9:00-13:00/14:00-17:30 木・日・祝 休診

  • MAILお問い合わせ
  • WEB無料診断
  • LINE無料相談
安藤歯科医院
〒020-0034
岩手県盛岡市盛岡駅前通8−3 ANDOビル 1F
JR東北本線 「盛岡駅」から徒歩2分
診療時間/9:00-17:30
休診日:木・日・祝日
ご予約・お問い合わせ

019-626-5525

  • MAILお問い合わせ
  • WEB無料診断
  • LINE無料相談

症例集

CASE

歯周病 審美修復・補綴 義歯(入れ歯)

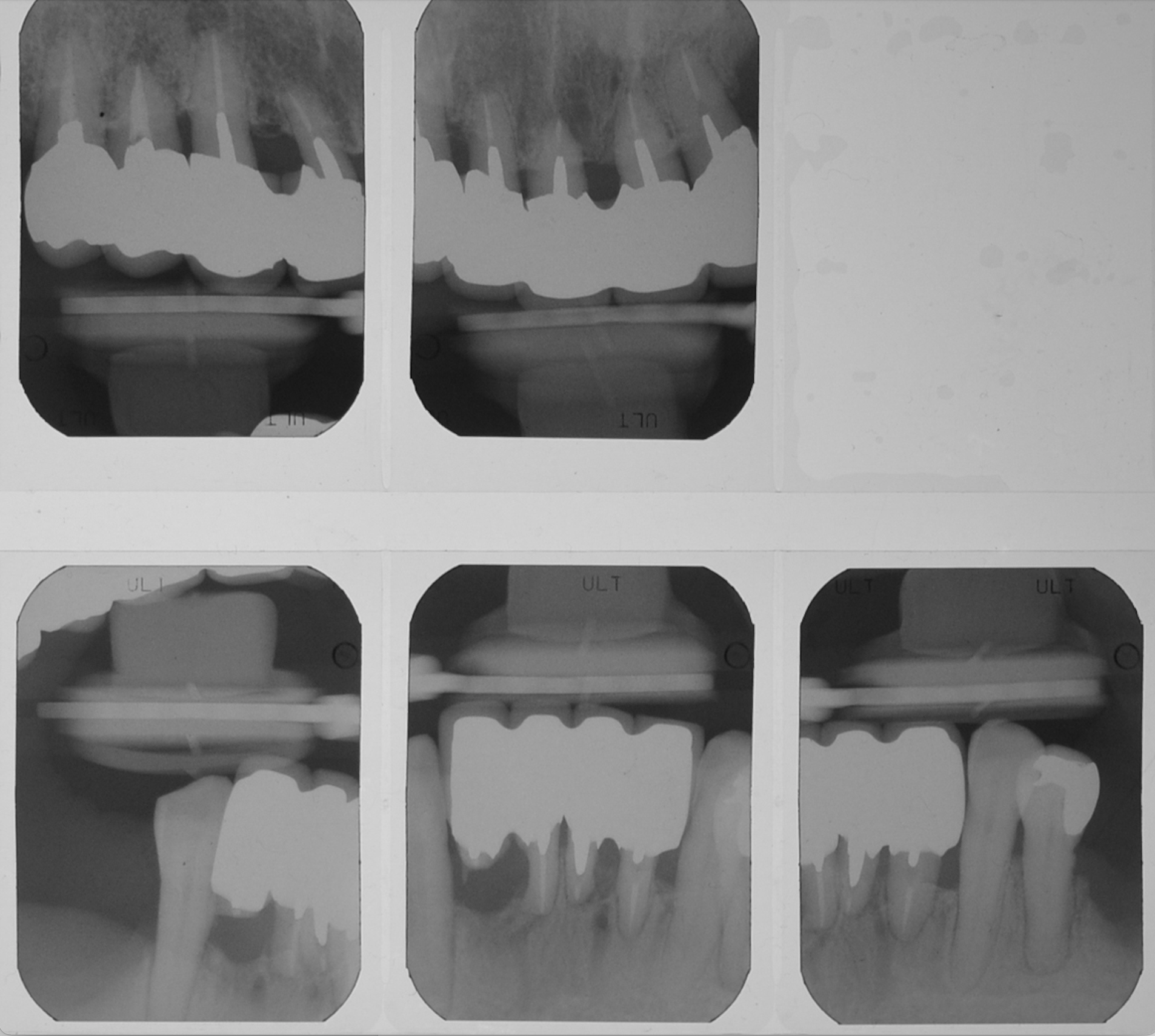
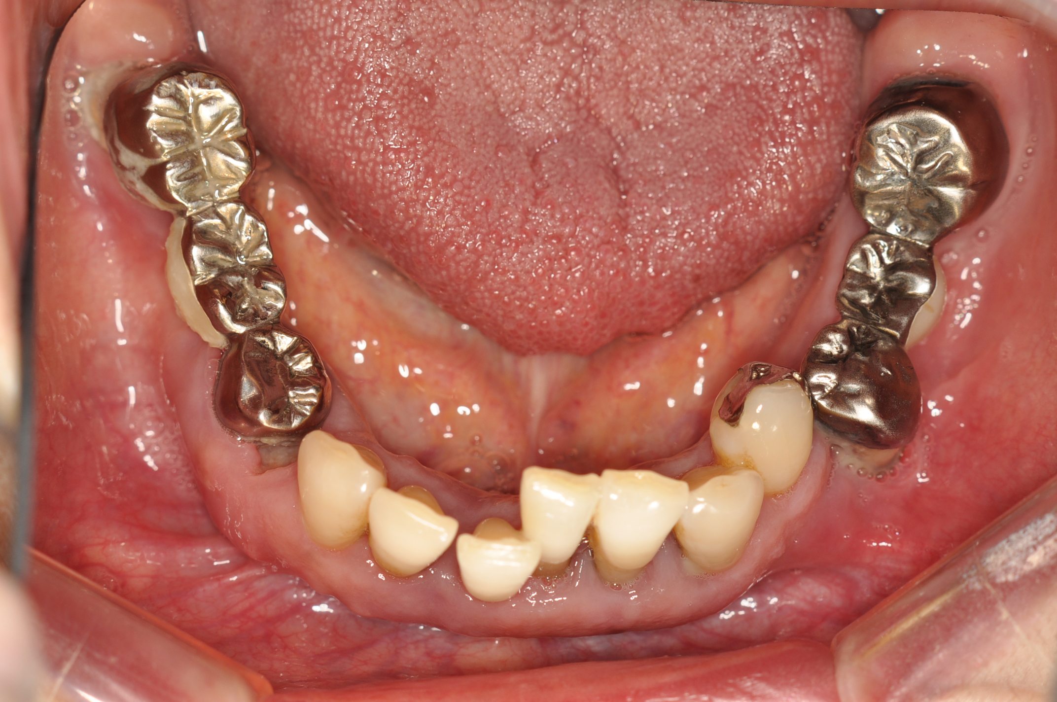
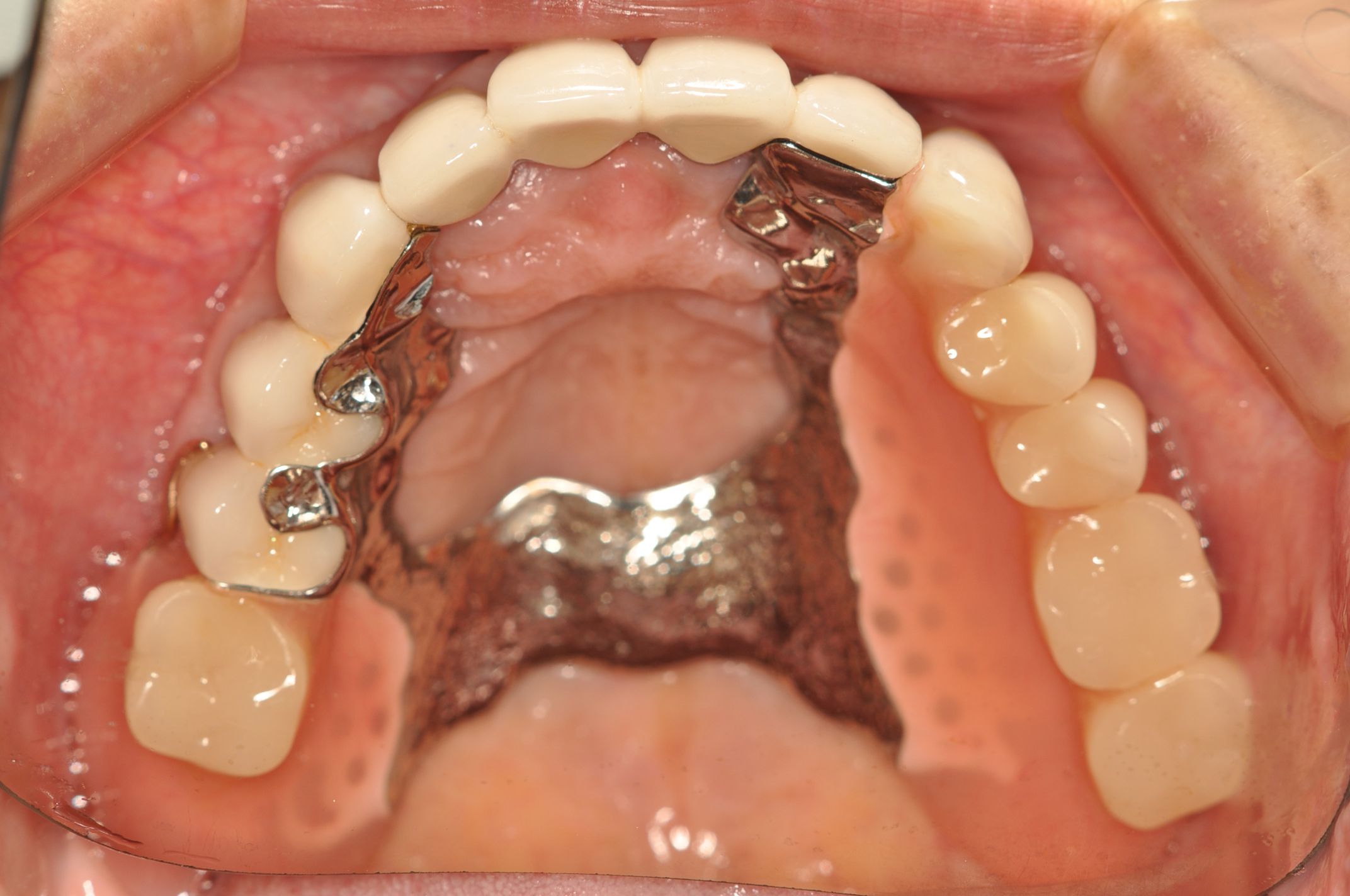
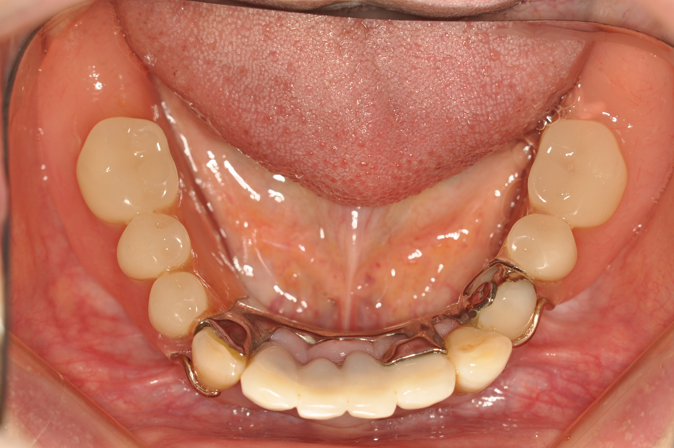
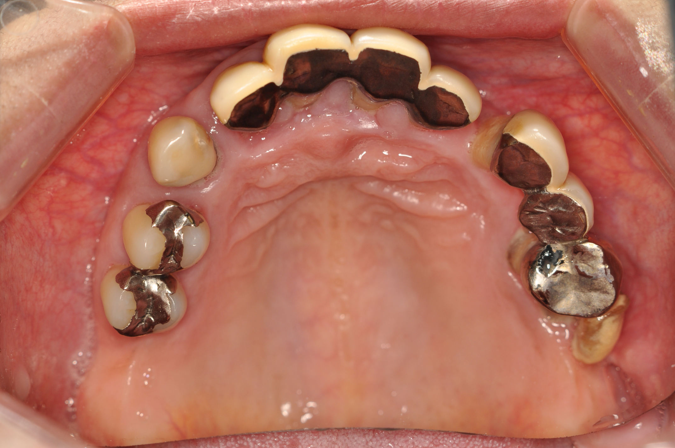
50代女性 部分義歯で対応した重度歯周病症例

娘さんがHPで安藤歯科を探していただいたそうです。義歯が入っているように見えない事が治療条件でした。

  • BEFORE

    盛岡 義歯 審美 歯周病
  • *
  • AFTER

    盛岡 義歯 審美 歯周病
  • BEFORE

    盛岡 義歯 審美 歯周病
  • *
  • AFTER

    盛岡 義歯 審美 歯周病
  • BEFORE

    盛岡 義歯 審美 歯周病
  • *
  • AFTER

    盛岡 義歯 審美 歯周病
  • BEFORE

    盛岡 歯周病 義歯 審美
  • *
  • AFTER

    盛岡 歯周病 義歯 審美
  • 盛岡 義歯 審美 歯周病

    試適時の咬みわせチェックの写真です。装着時も咬合器にリマウントしてチェックします。

担当医

Dr. ayumi ando

主訴

前歯をなんとかしたい

診断名/
主な症状

ステージIVグレードB 審美障害

治療内容

歯周基本治療
歯周外科
抜歯
補綴治療

使用装置

仮義歯

抜歯部位

FDI表記 23 25 26 35 37 42 44 45 47

治療期間

1年

通院回数

30

費用

170万円

主なリスク・副作用

歯周病再発
義歯不適合