矯正歯科
ORTHODONTIC







このようなお悩みはありませんか?
幅広いお悩み・症状に対して
審美的かつ機能的に
トータルで治療

参考文献:矯正治療が面白いほどわかる本P156改変
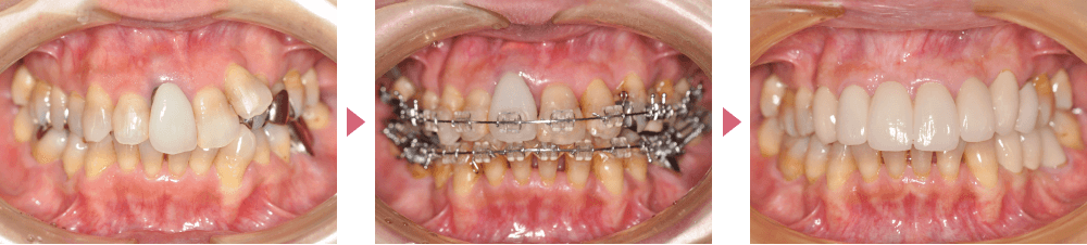
盛岡市の歯医者 安藤歯科医院の矯正歯科では専門医院に頼らずとも、大がかりな顎の骨の手術を伴う矯正治療以外の全顎矯正、部分矯正、小児矯正など、ほとんどの症例に対応可能です。

矯正治療に伴う治療前のむし歯・歯周病治療や抜歯、治療中のトラブル、インプラント治療が必要な場合、治療後のメインテナンスなど、総合歯科医院として全て当院で完結できる診療体制を整えています。その結果、時間の短縮・料金を包括的に抑えることができ、質の高い矯正歯科治療の提供に繋げます。

ガタガタな歯並びや噛み合わせを治したいなどの基本的な歯並びに関するお悩みはもちろん、奥歯にブリッジを装着する前に隣接の歯の位置を修正したいなど、その他の諸問題も含めて矯正治療との組み合わせが必要な幅広い症例に対応。
日本各地で開催されている矯正歯科研修コースを終了し、矯正歯科治療の経験を豊富に積んだ歯科医師が、審美的・機能的の両方を兼ね備えた美しい口元へと導くトータルプランをご提案します。

検査料、装置料、保定料とトータルの料⾦だと100万を超える矯正専門歯科医院が多いですが、当院ではトータルで60〜90万円くらいで治療を⾏えます。矯正治療中に⾒つかった充填程度のむし⻭治療も、⽉々の管理料⾦の範囲内で包括的に治療できます。
※詳しい治療費については診断後にご説明します。
歯並び・噛み合わせについてのお悩み・ご不安・疑問を解消するために
矯正相談を行っています。
矯正相談では治療の流れや症状・相談内容に沿った症例写真を紹介いたします。
矯正歯科治療に関する不安・些細な疑問にもお答えしますので、
まずはお気軽にご相談ください。








※マウスピースの材料は厚生労働省に認可を得たものを使用していますが、インビザラインは完成物薬機法対象外の矯正歯科装置であり、医薬品副作用被害救済制度の対象外となる場合があります。














価格は税込みです
![]()
|
800,000円 |
|---|---|
![]()
|
4,000円 |
|
30,000円 |
|
|