長年の経験が活きる 安藤歯科医院の症例集

お気軽にお問い合わせください

019-626-5525

9:00-13:00/14:00-17:30 木・日・祝 休診

  • MAILお問い合わせ
  • WEB無料診断
  • LINE無料相談
安藤歯科医院
〒020-0034
岩手県盛岡市盛岡駅前通8−3 ANDOビル 1F
JR東北本線 「盛岡駅」から徒歩2分
診療時間/9:00-17:30
休診日:木・日・祝日
ご予約・お問い合わせ

019-626-5525

  • MAILお問い合わせ
  • WEB無料診断
  • LINE無料相談

症例集

CASE

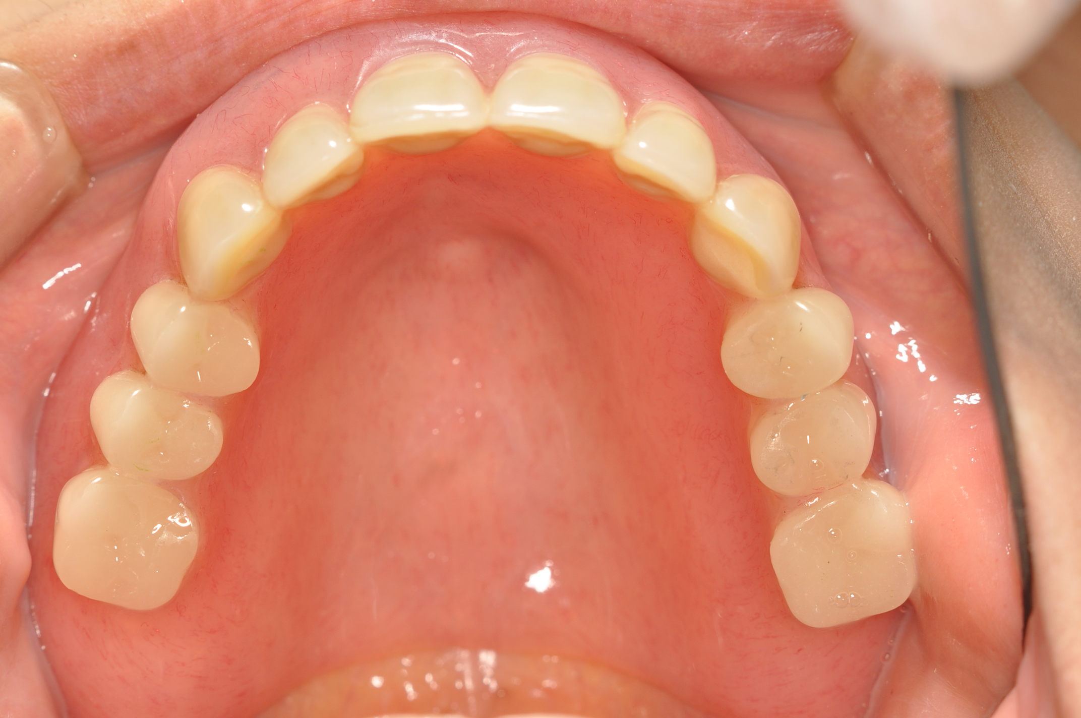
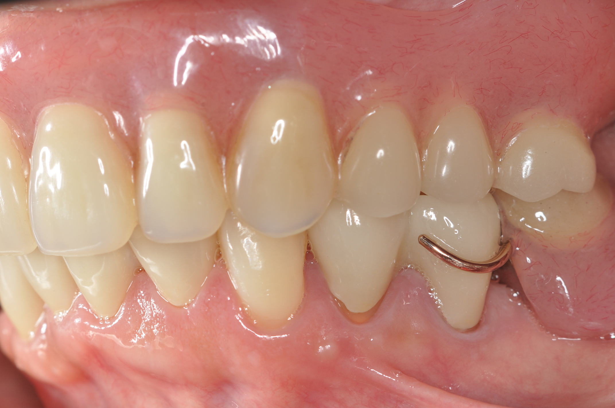
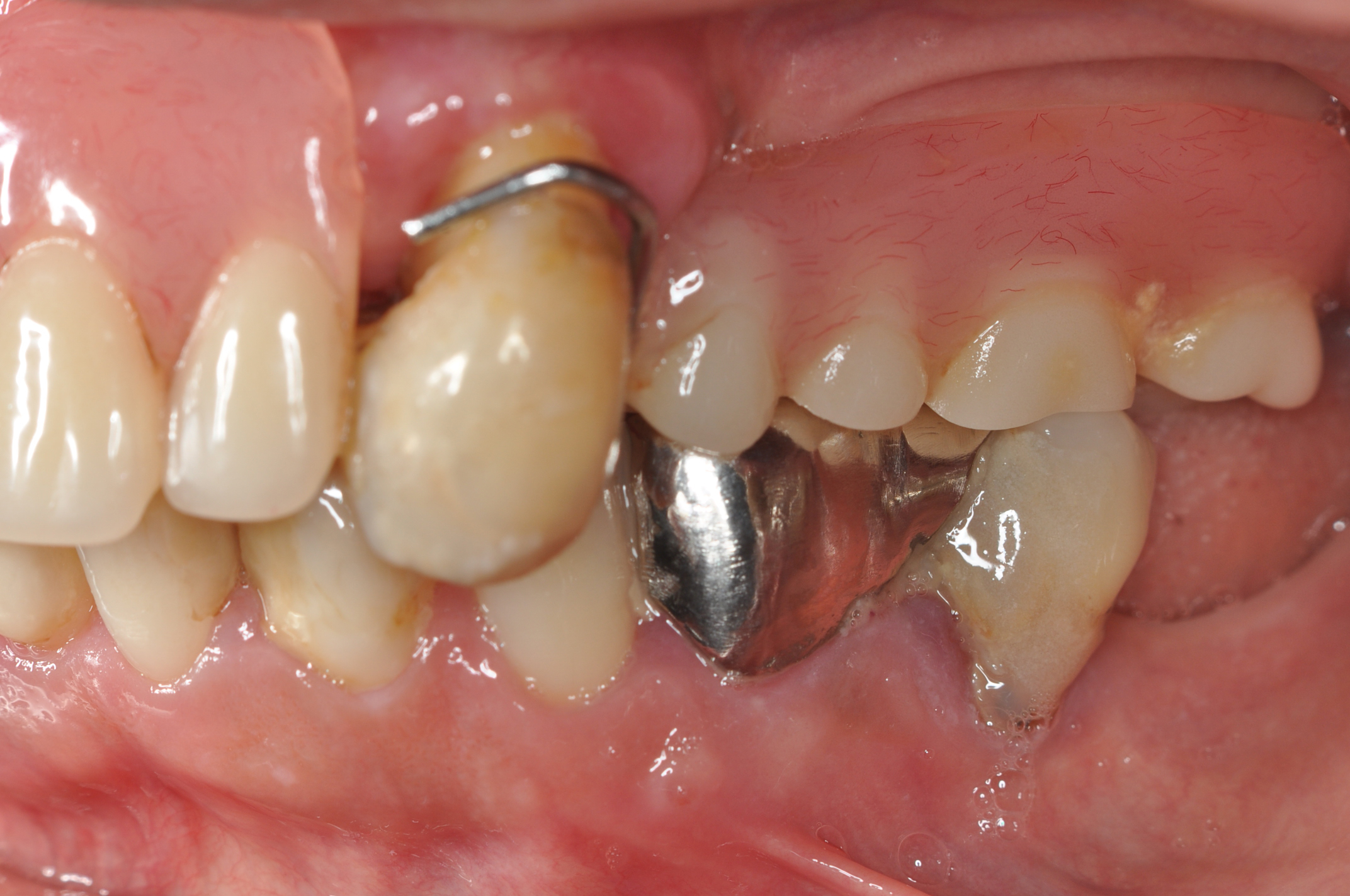
審美修復・補綴 義歯(入れ歯)

50代女性 上顎総義歯 下顎部分床義歯症例

姪っ子さんがアナウンサーで私も口元が綺麗になりたいという患者さんでした

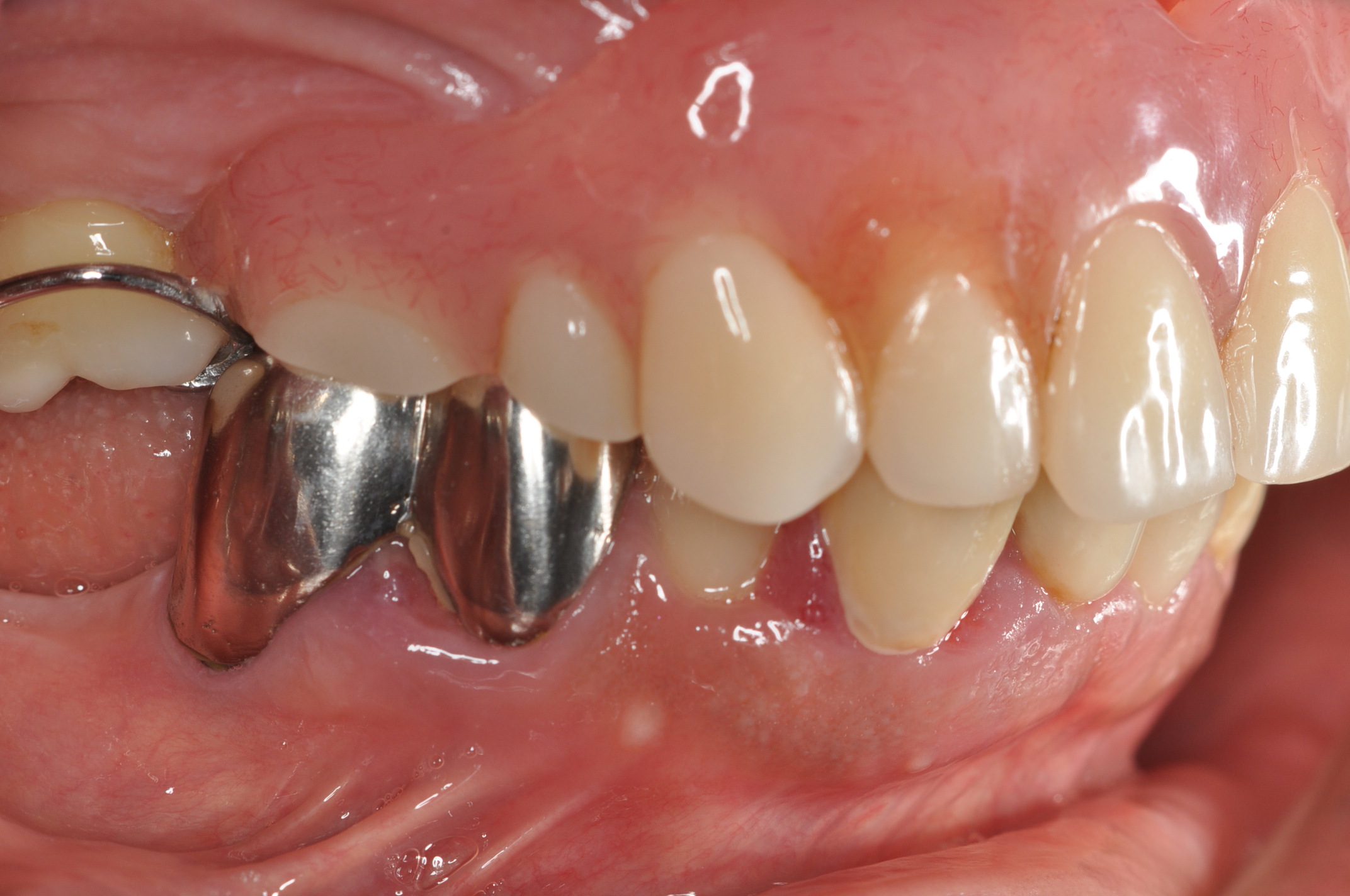
  • BEFORE

    盛岡 義歯 安藤歯科
  • *
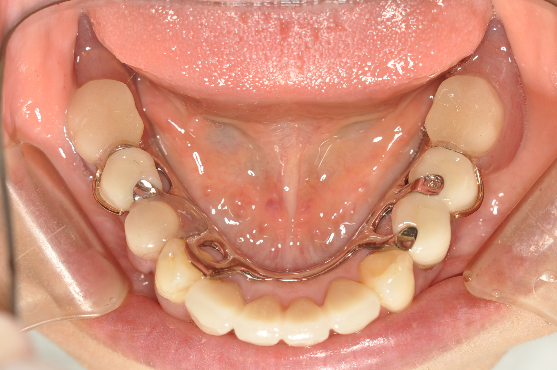
  • AFTER

    盛岡 義歯 安藤歯科
  • BEFORE

    盛岡 義歯 安藤歯科
  • *
  • AFTER

    盛岡 義歯 安藤歯科
  • BEFORE

    盛岡 義歯 安藤歯科
  • *
  • AFTER

    盛岡 義歯 安藤歯科
  • BEFORE

    盛岡 義歯 安藤歯科
  • *
  • AFTER

    盛岡 義歯 安藤歯科
  • BEFORE

    盛岡 義歯 安藤歯科
  • *
  • AFTER

    盛岡 義歯 安藤歯科
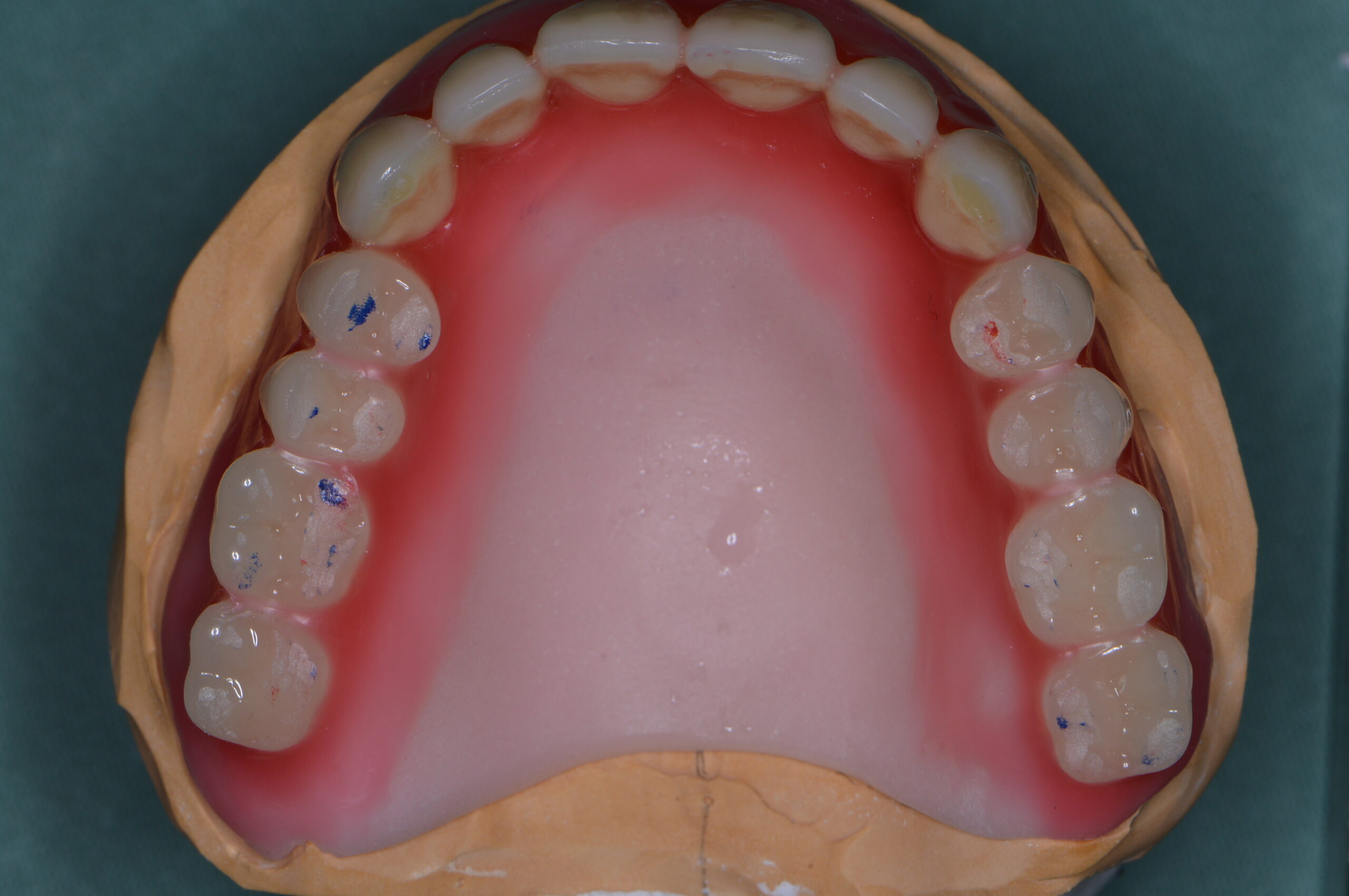
  • 盛岡 義歯 安藤歯科

    試適咬合調整時。安藤歯科医院では臼歯部人工歯については95%陶歯を使います。なぜならその後の義歯のメインテナンス、修理がしやすいためです。

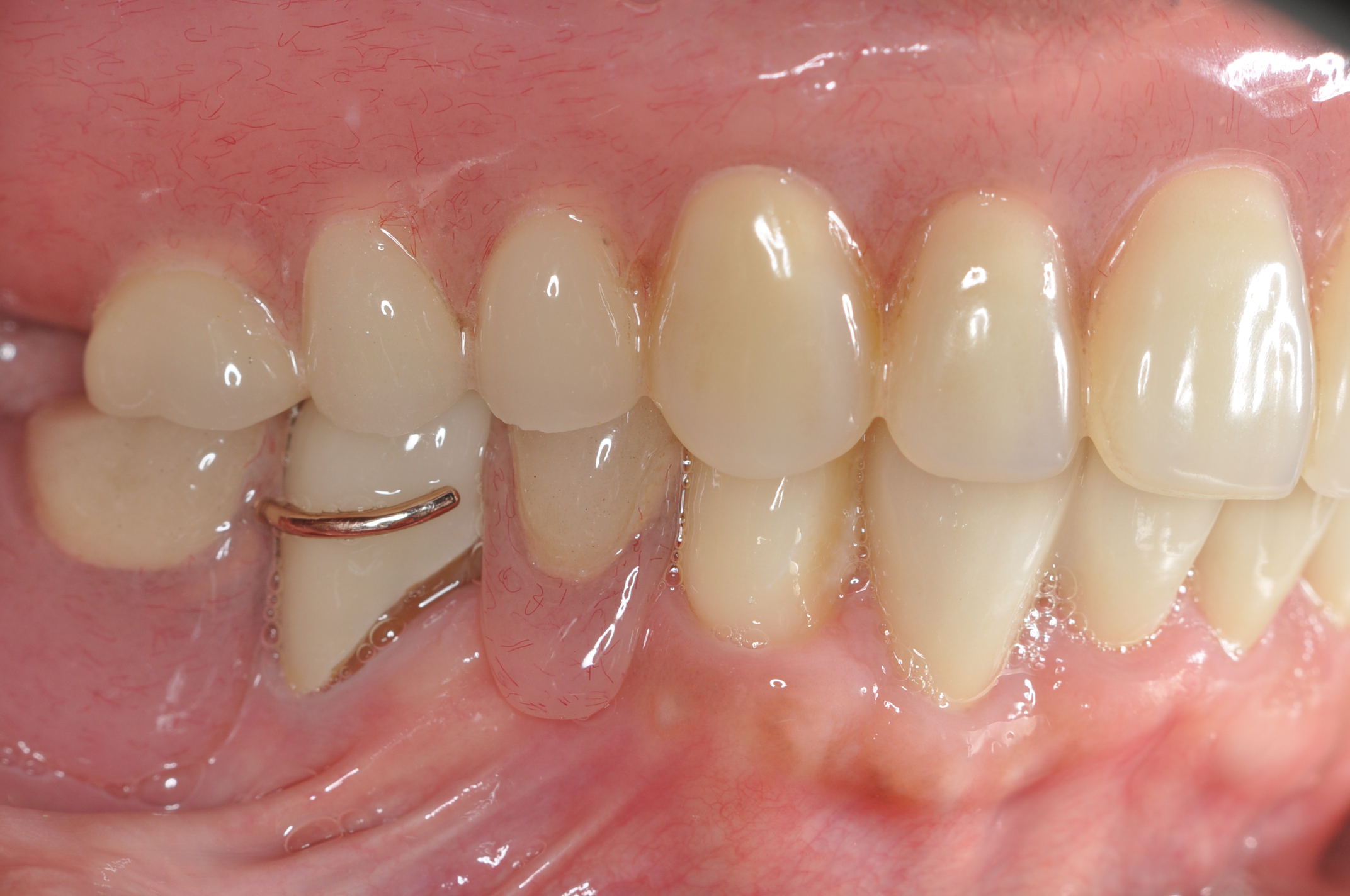
  • 盛岡 義歯 安藤歯科

    装着時咬合器マウント調整。

担当医

Dr. ayumi ando

主訴

前歯を審美的に見えるようにしたい

診断名/
主な症状
治療内容

歯周病基本治療
抜歯
セラミック治療
義歯治療

抜歯部位

FDI表記 23 45

治療期間

1年

通院回数

30回

費用

120万円

主なリスク・副作用

人工歯チッピング
歯根破折