症例集
CASE
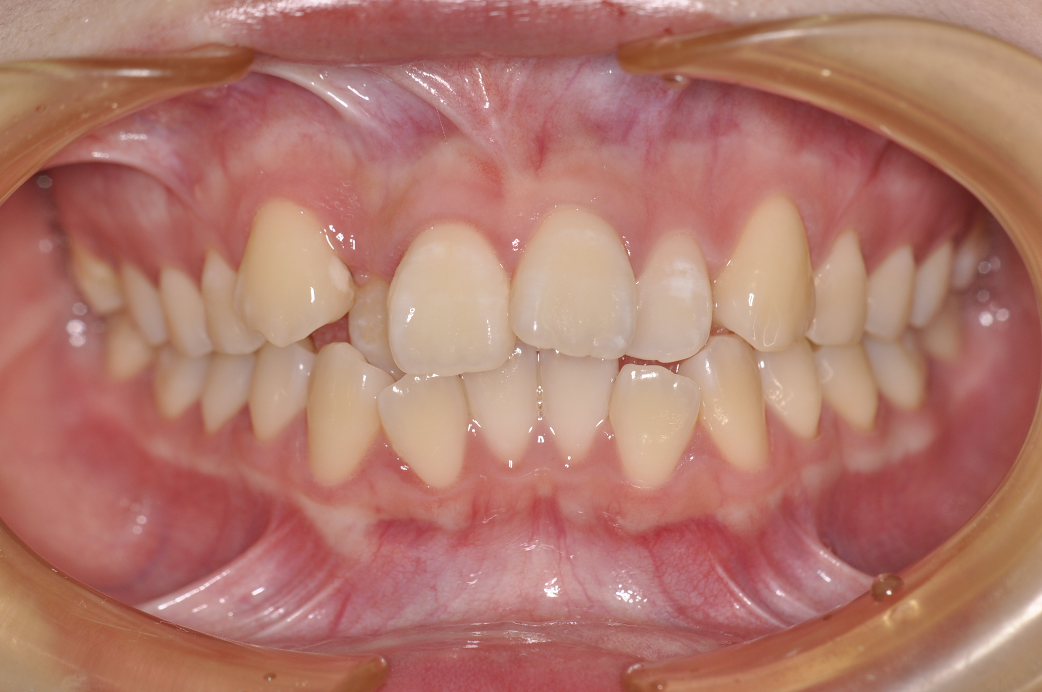
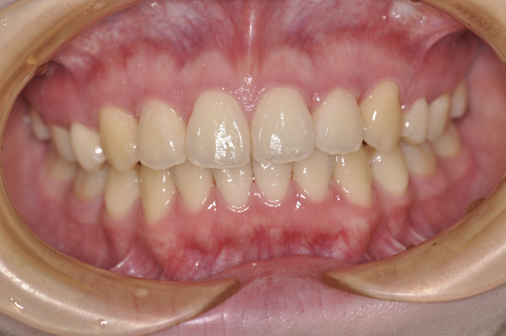
30代女性 矯正治療を併用しプロポーションを整えて上顎前歯審美治療


治療内容:上顎第1小臼歯 下顎第2小臼歯抜歯抜歯 レベリング スペースクローズ…続きを見る
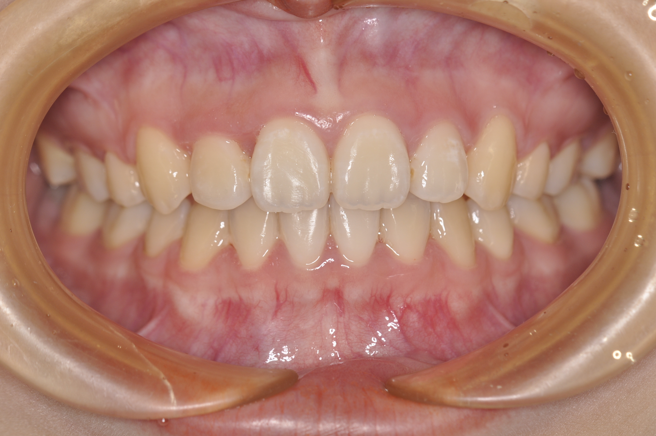
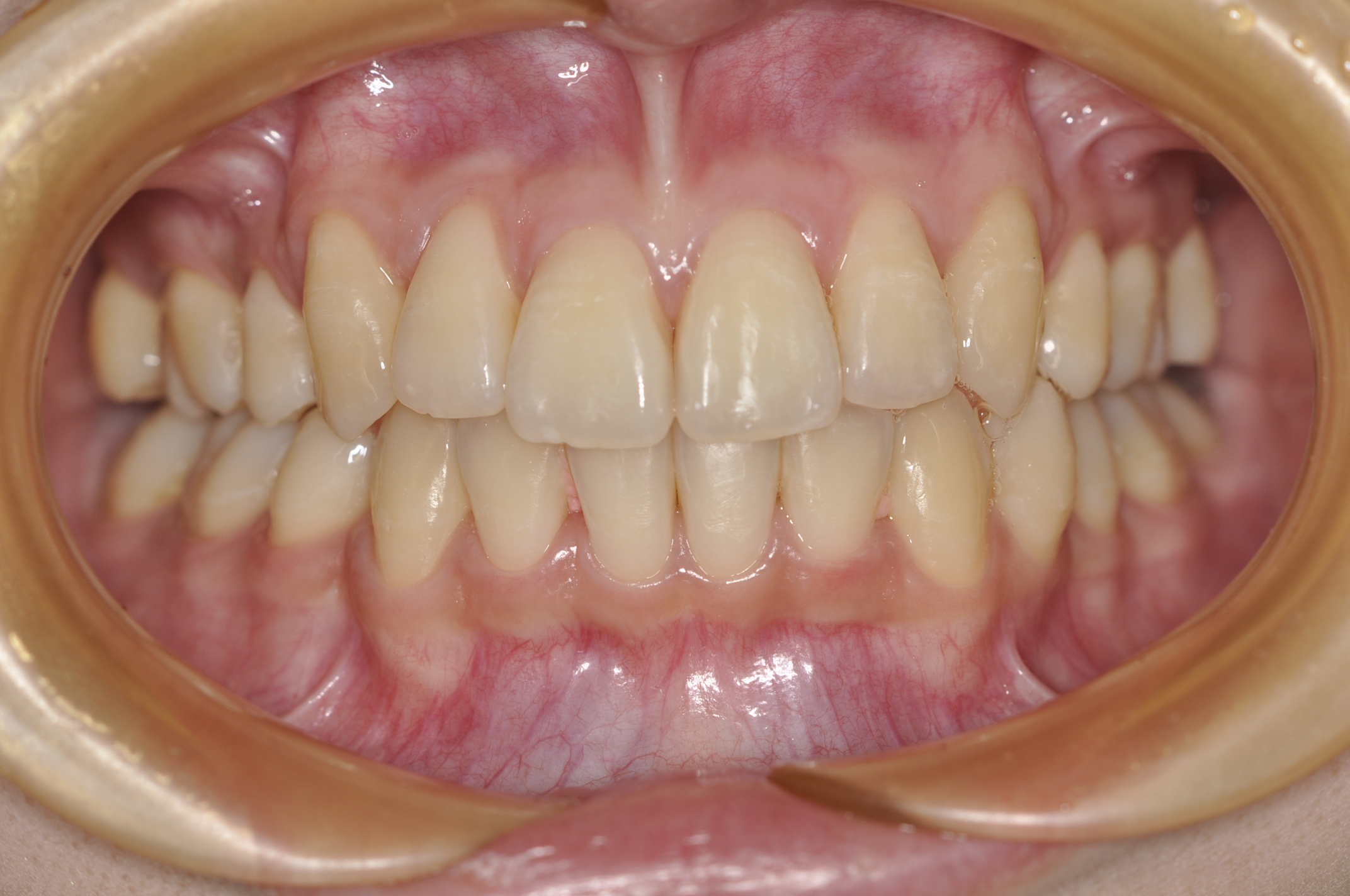
40代女性 ガミースマイル改善のため全顎矯正を併用した審美補綴治療


治療内容:上下4抜歯全顎矯正 セラミックによる審美補綴…続きを見る


治療内容:抜歯 レベリング→犬歯遠心移動→スペースクローズ 保定…続きを見る
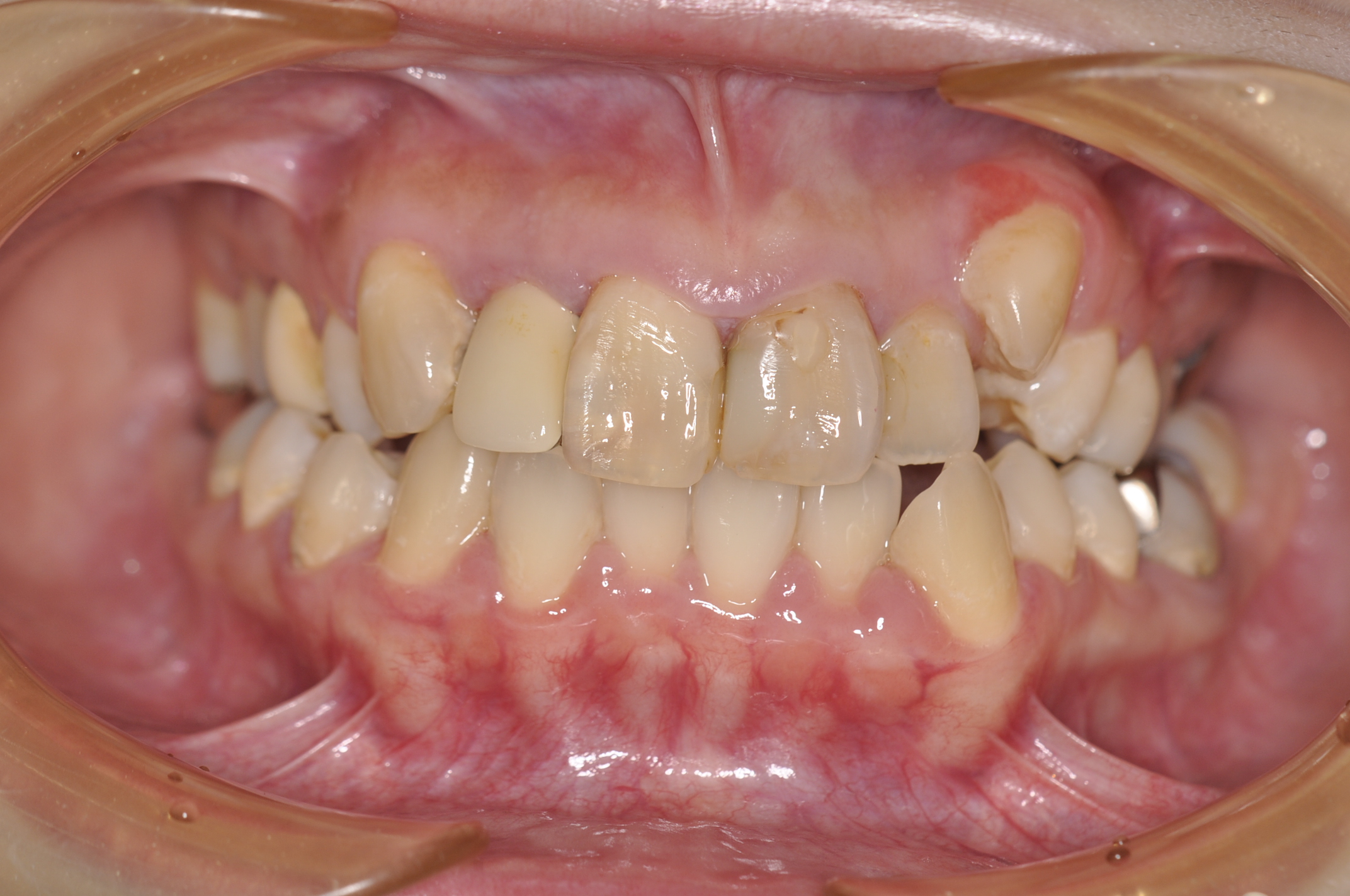
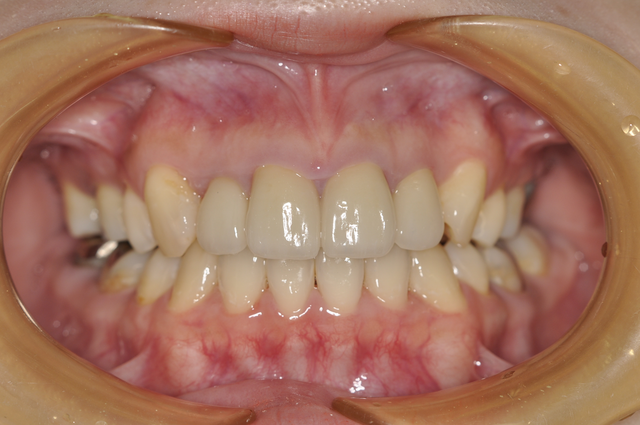
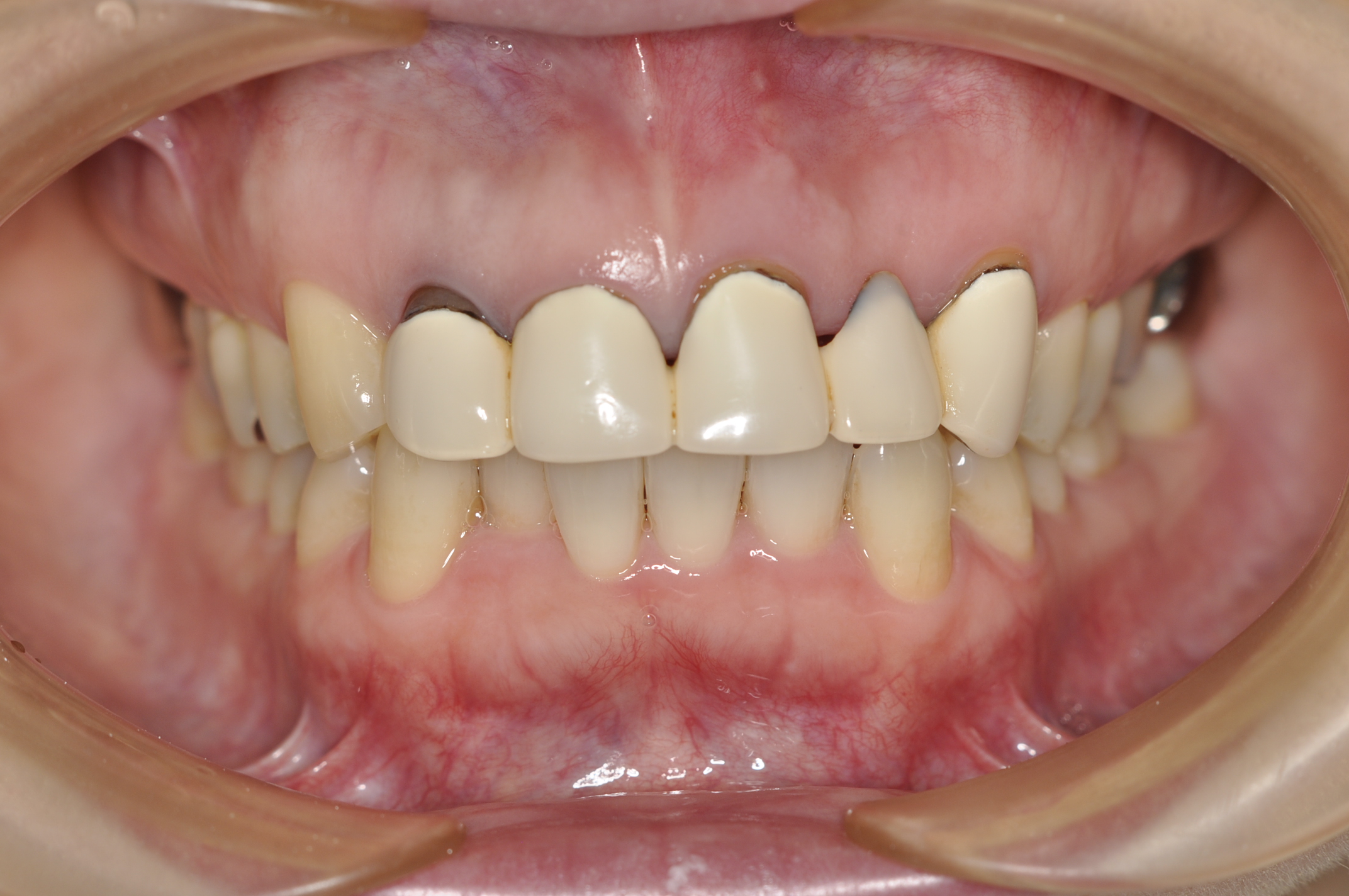
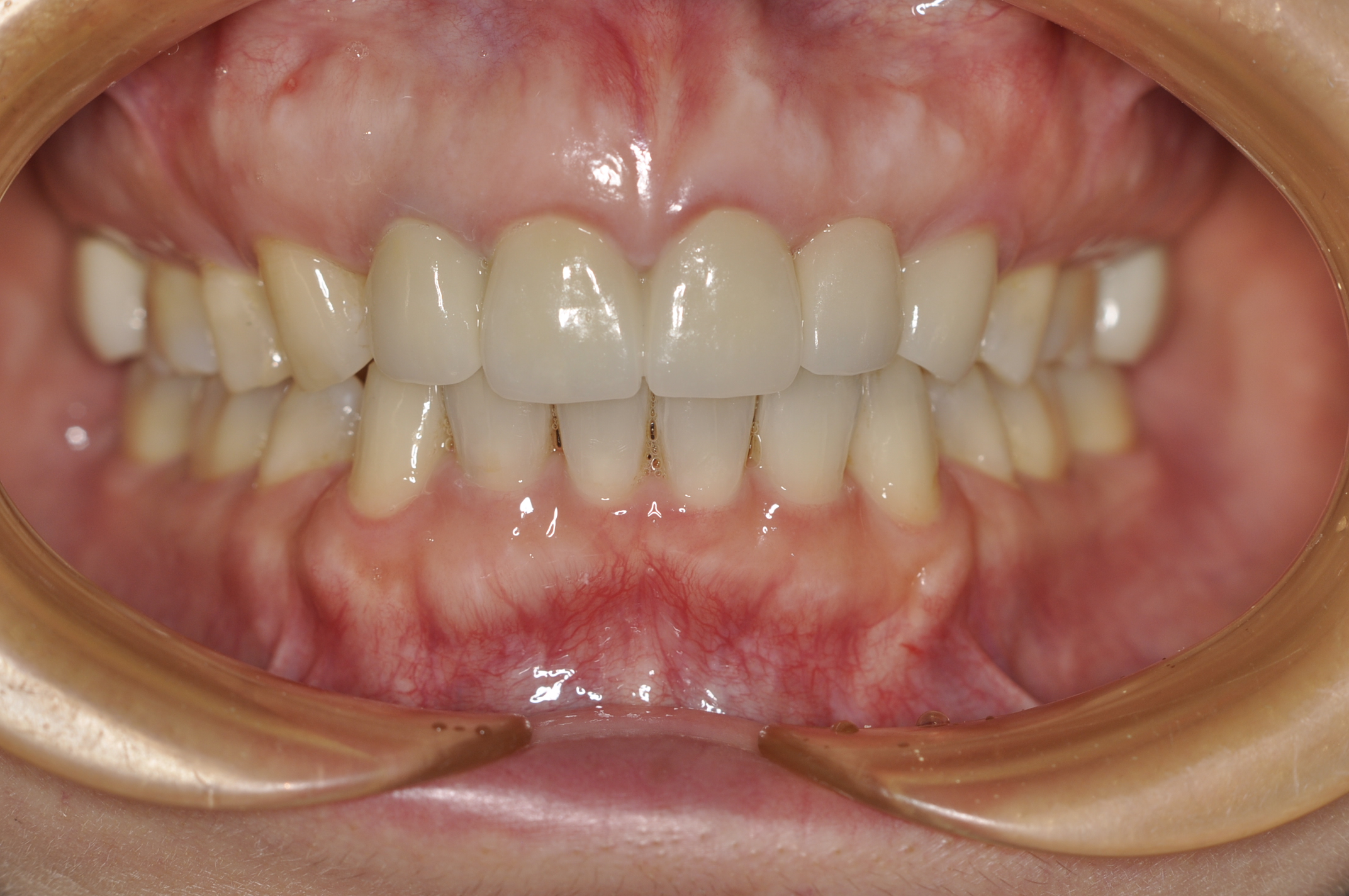
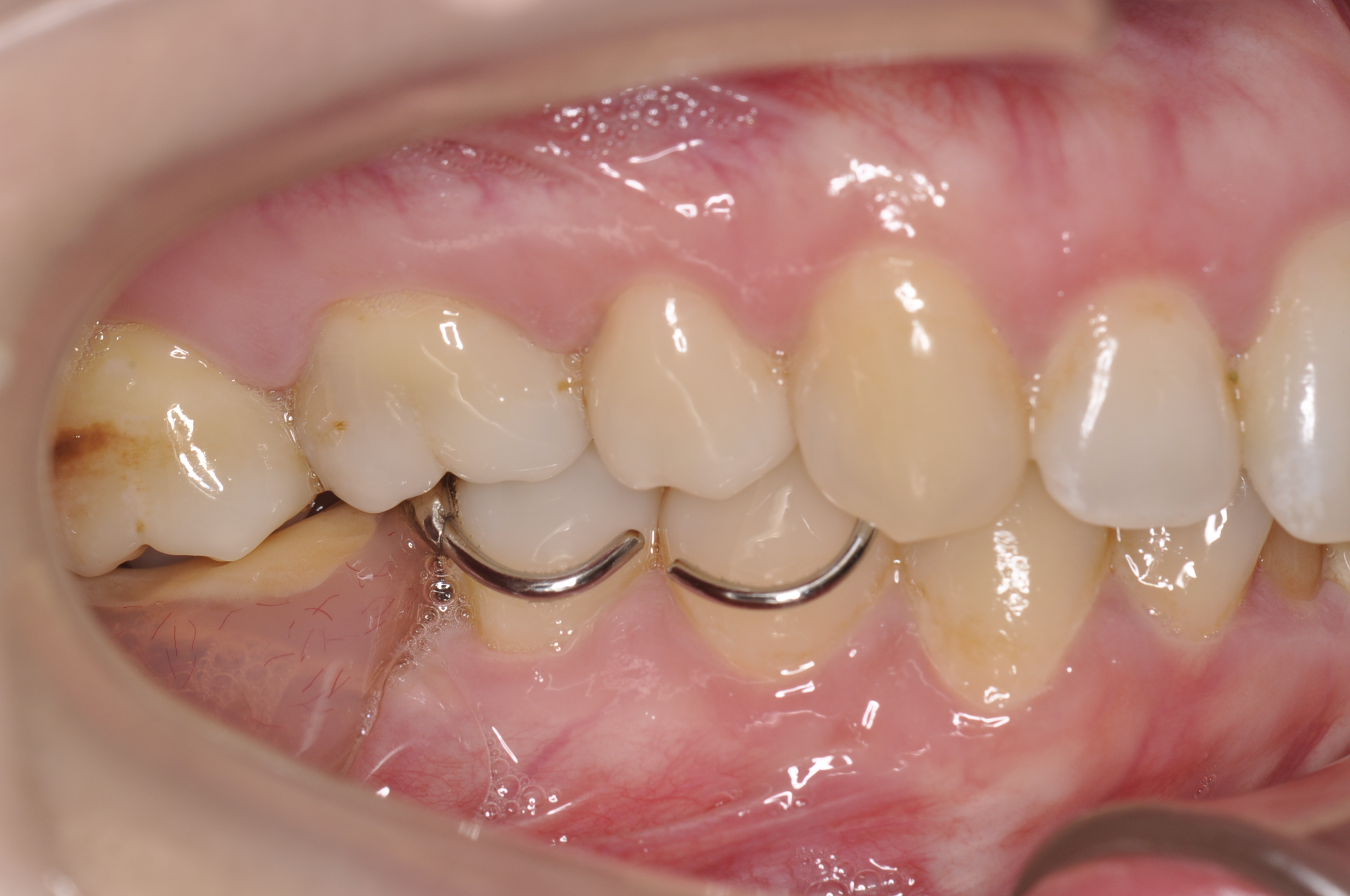
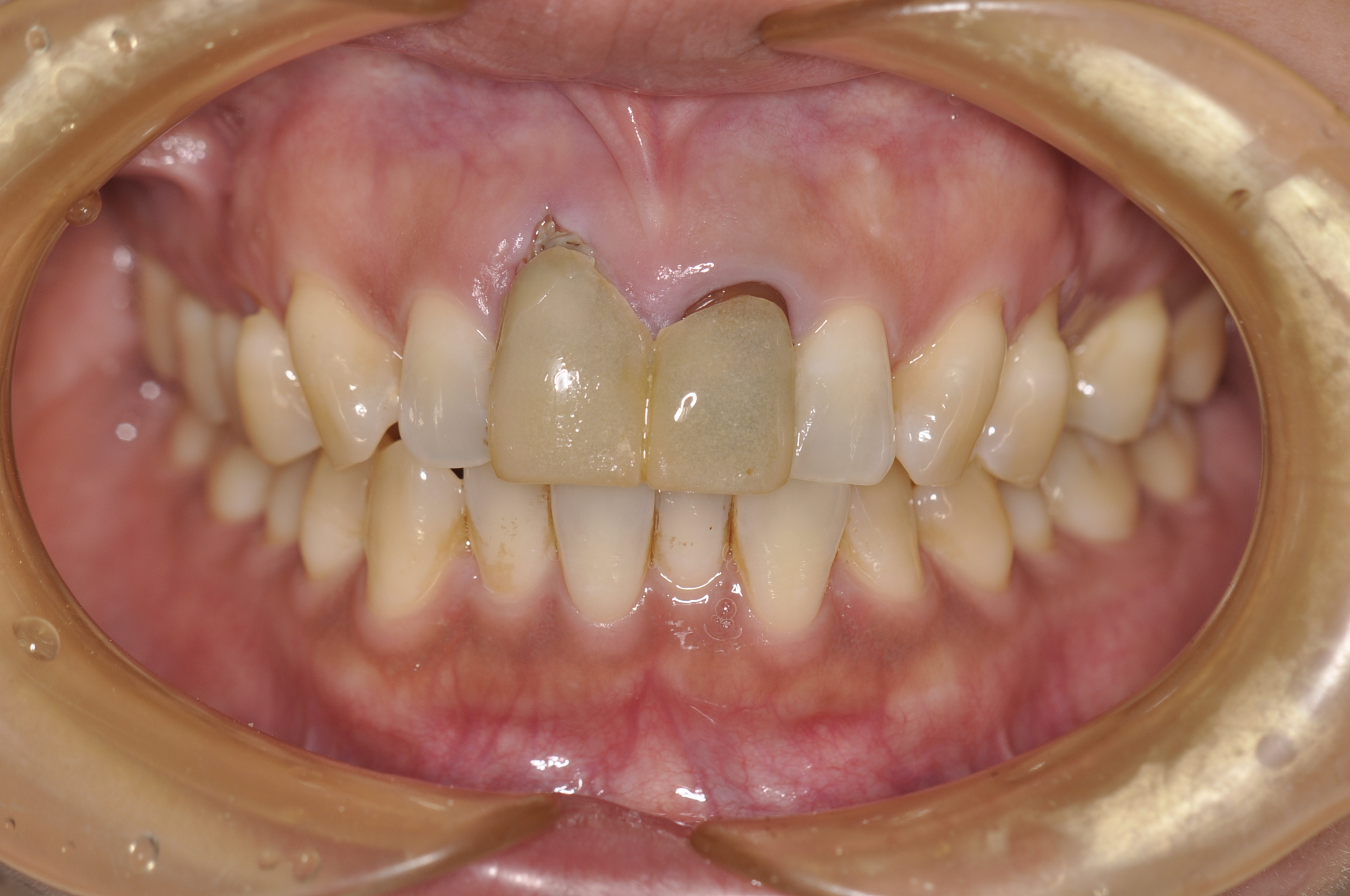
30代女性 圧下による挺出改善および最小限のインプラント治療


治療内容:上顎右側第2大臼歯挺出圧下 下顎右側第1大臼歯インプラント補綴…続きを見る


治療内容:下顎両側第2小臼歯抜歯 レベリング スペースクローズ 保定…続きを見る
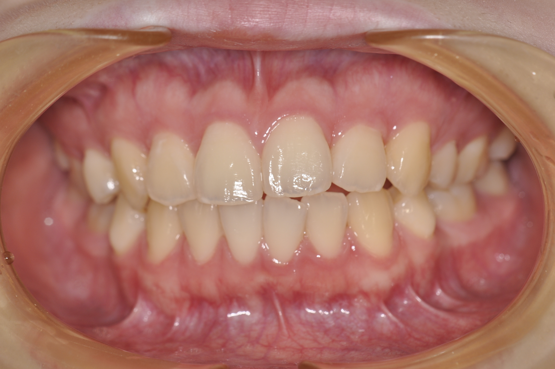
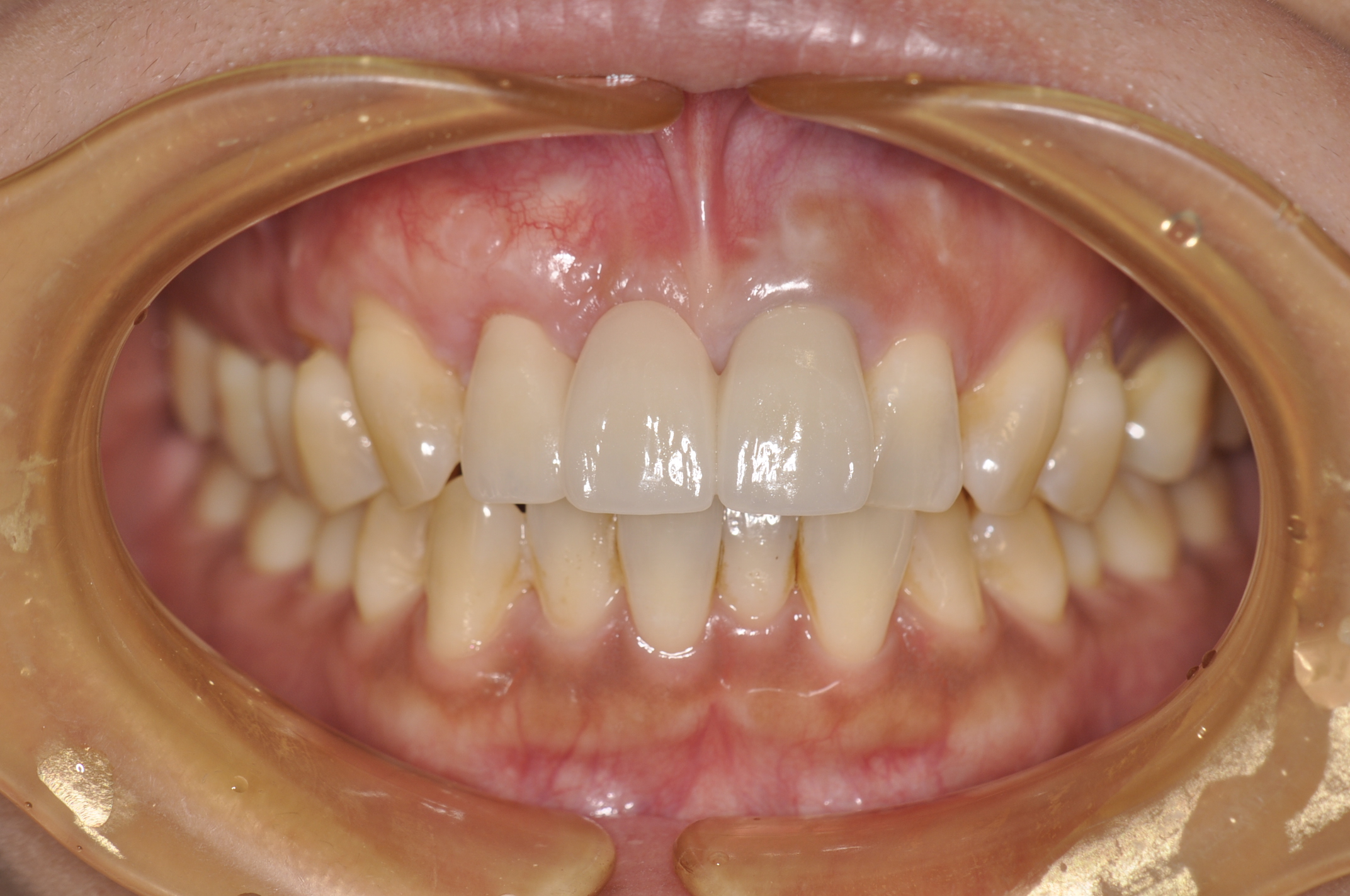
20代女性 前歯審美・臼歯機能的咬み合わせ改善のための全顎矯正治療


治療内容:上顎右側第1大臼歯左右第1小臼歯抜歯 下顎右側第2小臼歯抜歯 レベリング犬歯単独…続きを見る


治療内容:上顎右側中切歯 抜歯 上顎右側中切歯 ソケットプリザベーション 上顎右側中切歯側…続きを見る