症例集
CASE

| 担当医 | Dr. ayumi ando |
|---|---|
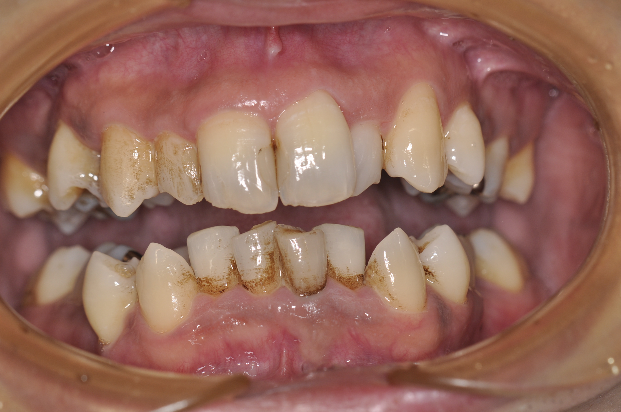
| 主訴 | 歯並びを治したい。 |
| 診断名/ 主な症状 |
骨格性Ⅰ級アングルⅠ級叢生 |
| 治療内容 | 抜歯 レベリング→犬歯遠心移動→スペースクローズ 保定 |
| 使用装置 | ナンスのホールディングアーチ プラスティックブラケット ニッケルチタンワイヤー ステンレスワイヤー 保定装置上顎インビジブルリテーナー 保定装置下顎ボンディングリテーナー |
| 抜歯部位 | 上顎左右第1小臼歯 下顎右側第2小臼歯 |
| 治療期間 | 2年半 |
| 通院回数 | 30回 |
| 費用 | 85万円 |
後戻り